近日,根据媒体报道,67岁的系统性血管炎患者王先生今年4月因双足趾皮肤开始发黑,继而出现坏死、溃疡而住院治疗,准备再次进行截肢。入院后,王先生并没有开展截肢手术,而是在血液科专家团队的努力后通过自身干细胞治疗,恢复至能够下床走路。

这则案例显示,干细胞科技避免了患者截肢的痛苦,最大限度地提高了患者的生活质量。
间充质干细胞在自身免疫性疾病中的应用
间充质干细胞(Mesenchymal stem cells,MSC)是干细胞大家族中最常见的成员,同时间充质干细胞的免疫调节作用是近年来干细胞研究领域的一项重要突破。目前,间充质干细胞的免疫调节已经成为了治疗自身免疫和移植领域研究的新热点。
通过多项研究发现,间充质干细胞可以通过以下不同途径调节机体免疫系统,从而治疗不同疾病。
①间充质干细胞通过直接接触能够抑制T细胞的增值;
②间充质干细胞分泌细胞因子的作用除了能够起到细胞间的相互接触作用外,还能发挥T细胞抑制作用;
③间充质干细胞能够促进IDO催化色氨酸转化为犬尿素过程起到免疫抑制作用。
今天主要来探讨系统性血管炎,那么间充质干细胞在治疗系统性血管炎方面效果到底如何呢?
间充质干细胞治疗系统血管炎的真实案例
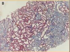
根据文献报道,一位73岁的老爷爷被诊断为ANCA相关性血管炎(即系统性血管炎中的小血管炎),而炎症累及器官主要为肾脏。光镜下有8个肾小球上皮呈现新月形,伴有节段性肾小球毛细血管坏死,纤维蛋白破坏,管腔内出现红细胞,间质水肿伴淋巴细胞浸润。

由于患者高龄再加上肾脏损害严重,因此采用了自体间充质干细胞移植治疗,每天输注5mg,共输注4个月。间充质干细胞治疗后,肾小球出现毛细血管增生,未见坏死性毛细血管炎和小动脉炎。

间充质干细胞输注后血清干扰素-g、白细胞介素6、肿瘤坏死因子水平下降。

在此次的重症血管炎患者中,通过输注自体间充质干细胞治疗效果好,能够迅速促进肾功能的恢复,同时患者输注间充质干细胞后耐受性较好,未表现出严重的不良反应。
通过上面的研究案例,人们渐渐认识到间充质干细胞治疗系统性血管炎是一种不错的选择,值得进一步研究推广。同时,间充质干细胞的抗增殖和抗炎症的特性也已经被广泛运用于临床研究,通过输注间充质干细胞可以抑制自身免疫细胞的活化,进而起到诱导免疫耐受。因此间充质干细胞移植治疗自身免疫性疾病具有良好的应用前景。